Tìm hiểu chung về bệnh ghẻ nước
Ghẻ nước thường được dùng để mô tả tình trạng viêm da có mụn nước kèm ngứa dữ dội, phổ biến nhất trong các trường hợp bệnh ghẻ có phản ứng viêm mạnh hoặc bội nhiễm. Về bản chất, bệnh ghẻ hình thành khi ký sinh trùng Sarcoptes scabiei hominis xâm nhập vào lớp thượng bì da, đào hang và đẻ trứng, kích thích hệ miễn dịch của cơ thể.
Phản ứng viêm - dị ứng đối với ký sinh trùng, trứng và chất thải của chúng làm giải phóng các chất trung gian gây viêm như histamin, từ đó gây ngứa, sẩn đỏ và hình thành mụn nước. Khi người bệnh gãi nhiều, hàng rào bảo vệ da bị phá vỡ, tạo điều kiện cho vi khuẩn xâm nhập, làm tổn thương tiến triển nặng hơn với mụn nước, rỉ dịch và nguy cơ nhiễm trùng thứ phát.
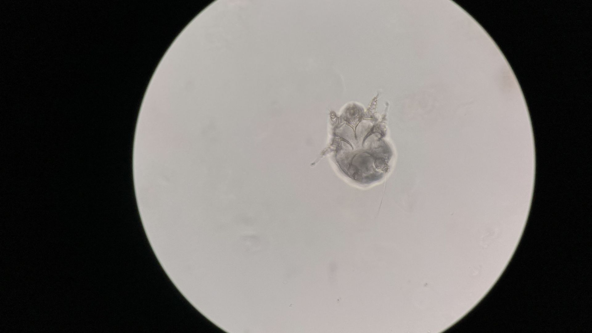
Ký sinh trùng Sarcoptes scabiei hominis có kích thước rất nhỏ, cơ thể hình bầu dục, với bốn đôi chân giúp bám và đào hang trong lớp thượng bì da. Sau khi xâm nhập, con ghẻ cái đào đường hầm và đẻ trứng, trứng nở sau 3 - 4 ngày và hoàn tất chu kỳ phát triển trong khoảng 10 - 14 ngày. Ve ghẻ chỉ sống trên da người và tồn tại ngắn ngoài môi trường. Quá trình đào hang, sinh sản cùng trứng và chất thải của ghẻ kích thích phản ứng miễn dịch của cơ thể.
Ghẻ nước gặp ở mọi lứa tuổi, giới tính và vùng địa lý, nhưng phổ biến hơn tại các khu vực đông dân cư, điều kiện vệ sinh hạn chế và khí hậu nóng ẩm.
Triệu chứng bệnh ghẻ nước
Những dấu hiệu và triệu chứng của ghẻ nước
Ghẻ nước thường biểu hiện bằng các triệu chứng viêm da rõ rệt do phản ứng miễn dịch của cơ thể đối với ký sinh trùng ghẻ và các sản phẩm của chúng. Mức độ triệu chứng có thể khác nhau tùy cơ địa, thời gian mắc bệnh và tình trạng bội nhiễm, nhưng nhìn chung có một số dấu hiệu đặc trưng giúp nhận biết bệnh như:
- Ngứa dữ dội, tăng về đêm: Đây là triệu chứng điển hình nhất, xuất hiện sớm và kéo dài, do ve ghẻ hoạt động mạnh vào ban đêm và kích thích phản ứng dị ứng của da.
- Mụn nước và sẩn đỏ trên da: Da xuất hiện các mụn nước nhỏ, kích thước vài milimet, nổi hơi gồ trên bề mặt da, bên trong chứa dịch trong hoặc hơi đục, thường kèm sẩn đỏ và phù nhẹ, ranh giới không rõ, phản ánh tình trạng viêm mạnh tại chỗ.
- Tổn thương rỉ dịch, đóng vảy: Khi mụn nước vỡ hoặc bị gãi nhiều, da dễ rỉ dịch làm bề mặt da ẩm ướt, sau đó khô lại thành các vảy tiết màu vàng nhạt hoặc nâu, làm tăng nguy cơ nhiễm trùng thứ phát.
- Vị trí tổn thương đặc hiệu: Ghẻ nước thường xuất hiện ở các vùng da mỏng, ẩm và dễ tiếp xúc như kẽ ngón tay, cổ tay, nách, quanh rốn, bẹn, mông hoặc cơ quan sinh dục. Sự phân bố đặc trưng này giúp phân biệt ghẻ với nhiều bệnh da liễu khác có mụn nước nhưng không có tính chất lan theo vị trí đặc hiệu.

Biến chứng có thể gặp khi mắc bệnh ghẻ nước
Ghẻ nước nếu không được điều trị đúng và kịp thời có thể dẫn đến nhiều biến chứng da liễu và toàn thân, chủ yếu do tình trạng viêm kéo dài, gãi nhiều và bội nhiễm. Một số biến chứng có thể gặp nếu không được hướng dẫn điều trị đúng cách như:
- Nhiễm trùng da thứ phát: Mụn nước dễ vỡ và rỉ dịch tạo điều kiện cho vi khuẩn, đặc biệt là tụ cầu và liên cầu, xâm nhập gây viêm da mủ, chốc lở, viêm mô tế bào, làm tổn thương lan rộng và khó kiểm soát.
- Viêm da mạn tính và dày sừng: Tình trạng ngứa kéo dài và gãi thường xuyên khiến da dày lên, thâm sạm, bong vảy nhiều, làm mất hàng rào bảo vệ da và kéo dài thời gian hồi phục.
- Sẹo và rối loạn sắc tố da: Sau khi tổn thương lành, vùng da bị ghẻ nước có thể để lại sẹo xấu hoặc tăng - giảm sắc tố, ảnh hưởng thẩm mỹ, đặc biệt ở vùng da hở.
- Lây lan và bùng phát ổ dịch: Do bệnh ghẻ có khả năng lây truyền cao, ghẻ nước không điều trị triệt để dễ lan sang người xung quanh, gây bùng phát trong gia đình hoặc cộng đồng sống tập trung.
Khi nào cần gặp bác sĩ?
Người bệnh nên chủ động đến cơ sở y tế ngay khi xuất hiện các dấu hiệu nghi ngờ ghẻ. Trên thực tế, nhiều bệnh lý da liễu như viêm da tiếp xúc hay chàm cũng có thể gây ngứa và nổi các mụn nhỏ tương tự. Việc thăm khám giúp bác sĩ đánh giá chính xác nguyên nhân gây tổn thương da, phân biệt ghẻ nước với những bệnh da khác có biểu hiện gần giống, từ đó đưa ra hướng điều trị phù hợp và hiệu quả cho từng trường hợp.
Nguyên nhân gây bệnh ghẻ nước
Nguyên nhân gây ghẻ nước thường liên quan trực tiếp đến bệnh ghẻ và các yếu tố làm phản ứng viêm da trở nên nặng hơn.
Ký sinh trùng ghẻ Sarcoptes scabiei hominis là nguyên nhân chính gây bệnh. Đây là một loại ve rất nhỏ, kích thước khoảng 0,3 - 0,4 mm, chỉ ký sinh trên da người. Ve ghẻ có cơ thể hình bầu dục, dẹt, với bốn đôi chân giúp bám chặt và đào các đường hầm nông trong lớp sừng của thượng bì. Sau khi xâm nhập da, con ghẻ cái đào hang và đẻ khoảng 2 - 3 trứng mỗi ngày, trứng nở sau 3 - 4 ngày và hoàn tất chu kỳ phát triển trong 10 - 14 ngày nếu không được điều trị.
Ve ghẻ không sống lâu ngoài cơ thể người, thường chỉ tồn tại 24 - 72 giờ trong môi trường. Quá trình đào hang, sinh sản cùng trứng và chất thải của ve ghẻ kích thích phản ứng viêm - dị ứng của cơ thể, gây ngứa dữ dội, sẩn đỏ và trong trường hợp viêm nặng có thể hình thành mụn nước.
- Phản ứng miễn dịch quá mức của cơ thể: Cơ địa nhạy cảm hoặc mắc bệnh kéo dài khiến da đáp ứng viêm mạnh, dễ hình thành mụn nước.
- Yếu tố thuận lợi từ môi trường và sinh hoạt: Tiếp xúc gần với người bệnh, dùng chung đồ cá nhân, vệ sinh kém, sống trong môi trường đông đúc làm tăng nguy cơ mắc và diễn tiến nặng của ghẻ nước.

Nguy cơ gây bệnh ghẻ nước
Những ai có nguy cơ mắc bệnh ghẻ nước?
Ghẻ nước có thể gặp ở mọi đối tượng, nhưng nguy cơ cao hơn ở những nhóm người có điều kiện thuận lợi cho ve ghẻ lây lan và gây viêm da nặng:
- Trẻ em và người cao tuổi, do da mỏng, sức đề kháng tại da yếu, dễ xuất hiện phản ứng viêm mạnh và mụn nước.
- Người có cơ địa dị ứng, da nhạy cảm, dễ đáp ứng viêm mạnh khi mắc ghẻ.
- Người suy giảm miễn dịch hoặc mắc bệnh mạn tính, khiến bệnh dễ kéo dài, nặng hơn và xuất hiện biểu hiện ghẻ nước.
- Người sống chung hoặc tiếp xúc gần với người mắc ghẻ, đặc biệt trong gia đình, ký túc xá, nhà trẻ, trại giam hoặc cơ sở chăm sóc tập trung.
Yếu tố làm tăng nguy cơ mắc bệnh ghẻ nước
Ghẻ nước thường xuất hiện khi có các yếu tố thuận lợi làm tăng nguy cơ nhiễm ghẻ và phản ứng viêm da trở nên nặng hơn, một số yếu tố nguy cơ thường gặp như:
- Tiếp xúc da kề da kéo dài với người đang mắc ghẻ, đặc biệt trong sinh hoạt chung hằng ngày.
- Dùng chung đồ cá nhân như quần áo, khăn tắm, chăn màn, giường chiếu chưa được giặt sạch.
- Môi trường sống đông đúc, vệ sinh kém, nhất là nơi nóng ẩm, làm tăng khả năng lây lan ký sinh trùng.
- Gãi nhiều và điều trị muộn, khiến tổn thương da nặng lên, dễ hình thành mụn nước và bội nhiễm.
Phương pháp chẩn đoán và điều trị bệnh ghẻ nước
Phương pháp xét nghiệm và chẩn đoán ghẻ nước
Chẩn đoán ghẻ nước chủ yếu dựa vào thăm khám lâm sàng kết hợp với một số xét nghiệm hỗ trợ, nhằm xác định đúng nguyên nhân và phân biệt với các bệnh da liễu khác có mụn nước, ngứa.
- Thăm khám lâm sàng: Bác sĩ khai thác triệu chứng ngứa tăng về đêm, tiền sử tiếp xúc với người mắc ghẻ và quan sát tổn thương da điển hình như mụn nước, sẩn đỏ, vết gãi, vảy tiết và các vị trí thường gặp. Đây là bước quan trọng nhất trong chẩn đoán.
- Soi tìm cái ghẻ, trứng hoặc chất thải: Cạo nhẹ tổn thương nghi ngờ từ đường hang hay mụn nước, rồi soi dưới kính hiển vi để tìm ve ghẻ, trứng hoặc phân ghẻ. Đây được xem là tiêu chuẩn xác định bệnh ghẻ khi phát hiện được tác nhân.
- Soi da: Một số cơ sở y tế sử dụng kính soi da để quan sát hình ảnh đặc trưng của đường hang ghẻ và ve ghẻ ngay trên bề mặt da, giúp chẩn đoán nhanh, ít xâm lấn.
- Chẩn đoán phân biệt: Trong trường hợp khó xác định, bác sĩ sẽ loại trừ các bệnh khác như viêm da tiếp xúc, chàm tổ đỉa, viêm da dị ứng hoặc nhiễm trùng da.

Phương pháp điều trị ghẻ nước
Điều trị ghẻ nước cần kết hợp diệt ký sinh trùng ghẻ, kiểm soát viêm da và phòng ngừa lây lan, tùy mức độ tổn thương và tình trạng bội nhiễm mà sẽ có các phương pháp điều trị khác nhau phù hợp với từng cá nhân. Không nên tự ý dùng thuốc điều trị tại nhà mà nên đến cơ sở y tế để được hướng dẫn điều trị đúng cách để đạt hiệu quả tốt nhất.
- Điều trị đặc hiệu diệt ghẻ: Bác sĩ thường chỉ định các thuốc bôi diệt ghẻ như permethrin, benzyl benzoate. Các thuốc trên nên được dùng đúng liều, đúng thời gian để tiêu diệt ve ghẻ, trứng và ngăn tái nhiễm. Trong một số trường hợp nặng hoặc lan rộng, có thể cân nhắc thuốc đường uống theo chỉ định y tế.
- Điều trị triệu chứng viêm và ngứa: Thuốc kháng histamin giúp giảm ngứa và các thuốc bôi chống viêm được dùng ngắn ngày để làm dịu da, hạn chế sưng đỏ và mụn nước, tránh gãi làm tổn thương nặng hơn.
- Xử trí bội nhiễm da: Nếu có dấu hiệu nhiễm trùng như rỉ dịch, mủ, đóng vảy tiết dày, bác sĩ có thể chỉ định thuốc kháng sinh bôi hoặc uống phù hợp để kiểm soát vi khuẩn.
- Kết hợp với chăm sóc da và vệ sinh cơ thể sạch sẽ: Đồng thời nên kết hợp điều trị đồng thời người tiếp xúc để ngăn ngừa tái phát và lây lan trong cộng đồng.
Chế độ sinh hoạt và phòng ngừa ghẻ nước
Những thói quen sinh hoạt có thể giúp hạn chế diễn tiến ghẻ nước
Chế độ sinh hoạt
- Giữ vệ sinh da sạch sẽ, khô thoáng, tắm rửa nhẹ nhàng, tránh chà xát mạnh vùng tổn thương.
- Không gãi hoặc cào da, cắt ngắn móng tay để hạn chế trầy xước và bội nhiễm.
- Giặt sạch quần áo, chăn màn, khăn tắm bằng nước nóng và phơi nắng để tiêu diệt ký sinh trùng còn sót lại.
- Tránh dùng chung đồ cá nhân và hạn chế tiếp xúc gần với người khác trong thời gian điều trị.
- Nghỉ ngơi đầy đủ, giữ môi trường sống thoáng mát, giảm nóng ẩm.
Chế độ dinh dưỡng
- Ăn uống đầy đủ chất, tăng cường rau xanh, trái cây để hỗ trợ miễn dịch và phục hồi da.
- Bổ sung thực phẩm giàu vitamin A, C, E và kẽm, giúp da nhanh lành tổn thương.
- Uống đủ nước để duy trì độ ẩm và chức năng bảo vệ của da.
Phương pháp phòng ngừa bệnh ghẻ nước
Phòng ngừa bệnh ghẻ nước đóng vai trò rất quan trọng, bởi đây là tình trạng dễ lây lan và có xu hướng diễn tiến nặng nếu không kiểm soát tốt từ sớm. Do ghẻ nước thường liên quan đến bệnh ghẻ và các yếu tố vệ sinh, tiếp xúc, việc chủ động phòng ngừa không chỉ giúp bảo vệ bản thân mà còn hạn chế nguy cơ lây nhiễm cho người xung quanh. Một số phương pháp phòng ngừa giúp hạn chế nguy cơ mắc bệnh như:
- Tránh tiếp xúc da kề da với người đang mắc ghẻ. Không dùng chung đồ cá nhân như quần áo, khăn tắm, chăn màn, giặt sạch bằng nước nóng và phơi nắng.
- Giữ vệ sinh cá nhân và môi trường sống, tắm rửa hằng ngày, nhà ở thông thoáng, khô ráo.
- Hạn chế gãi và chăm sóc da đúng cách, cắt ngắn móng tay để giảm trầy xước và bội nhiễm.
- Phát hiện sớm và điều trị kịp thời khi có triệu chứng ngứa, mụn nước nghi ngờ ghẻ để tránh lây lan.

:format(webp)/470051785_8767135473405056_691967411107495592_n_6b2bbff755.png)
:format(webp)/467434554_545745841560409_1066418224364723785_n_560a494f9c.png)
:format(webp)/benh_a_z_ghe_nuoc_2a696d3a93.jpg)
/viem_nang_long_do_nam_Malassezia_dau_hieu_nguyen_nhan_va_cach_dieu_tri_e1f0c28cb2.jpg)
/nam_Malassezia_dac_diem_tac_dong_den_da_va_nhung_dieu_can_biet_967eb1a3ca.jpg)
/hinh_anh_benh_o_ga_o_nach_nhan_biet_som_qua_dau_hieu_dien_hinh_05158529f3.jpg)
/benh_a_z_bach_san_d7f33f29d7.png)
/cham_to_dia_bien_chung_boi_nhiem_voi_dich_duc_va_viem_lan_rong_1_2417c8424d.png)