icon_app_03735b6399_696a3c8baf_193690009b

Tải ứng dụng Nhà Thuốc Long Châu để xem sổ tiêm chủng điện tử

Mở trong ứng dụng Nhà Thuốc Long Châu

470051785_8767135473405056_691967411107495592_n_6b2bbff755467434554_545745841560409_1066418224364723785_n_560a494f9c

Biến chứng của bệnh phổi tắc nghẽn mạn tính (COPD) là gì? Biện pháp phòng ngừa và kiểm soát biến chứng

Minh Thy07/01/2026

Bệnh phổi tắc nghẽn mạn tính (COPD) không chỉ gây khó thở kéo dài mà còn tiềm ẩn nhiều biến chứng nguy hiểm nếu không được can thiệp kịp thời. Từ suy hô hấp, tràn khí màng phổi đến suy tim và nhiễm trùng hô hấp, mỗi biến chứng của bệnh phổi tắc nghẽn mạn tính đều có thể ảnh hưởng nghiêm trọng đến sức khỏe và tuổi thọ người bệnh.

Việc nhận diện sớm và hiểu biết về các dấu hiệu của COPD là rất cần thiết để có thể đưa ra biện pháp điều trị kịp thời và hiệu quả. Mỗi biến chứng đều ẩn chứa những rủi ro tiềm ẩn mà nếu không được kiểm soát, sẽ nhanh chóng dẫn đến tình trạng nguy kịch.

Tìm hiểu về bệnh phổi tắc nghẽn mạn tính 

Bệnh phổi tắc nghẽn mạn tính Bệnh phổi tắc nghẽn mạn tính (COPD) là một rối loạn hô hấp mạn tính đặc trưng bởi tình trạng tắc nghẽn luồng khí thở ra không hồi phục hoàn toàn. Nguyên nhân chủ yếu là do phản ứng viêm kéo dài ở đường thở và nhu mô phổi, thường gặp ở người hút thuốc lá lâu năm hoặc tiếp xúc với ô nhiễm không khí, khói bụi nghề nghiệp. 

Người mắc bệnh thường xuất hiện các triệu chứng như ho dai dẳng, khó thở tiến triển, thở khò khè và tăng tiết đờm. Bệnh có xu hướng nặng dần theo thời gian nếu không được chẩn đoán và kiểm soát kịp thời. Việc hiểu rõ cơ chế bệnh sinh, yếu tố nguy cơ và dấu hiệu cảnh báo sớm đóng vai trò quan trọng trong việc can thiệp hiệu quả, giúp cải thiện chức năng hô hấp và chất lượng sống cho người bệnh.

COPD gây viêm tắc đường thở kéo dài, làm giảm khả năng trao đổi khí
COPD gây viêm tắc đường thở kéo dài, làm giảm khả năng trao đổi khí

Cảnh báo các biến chứng của bệnh phổi tắc nghẽn mạn tính

Các biến chứng của bệnh có thể ảnh hưởng nghiêm trọng đến toàn cơ thể. Nếu không được theo dõi và kiểm soát đúng cách, chúng có thể dẫn đến các hậu quả không lường trước được. Dưới đây là các biến chứng cần được cảnh giác đối với mỗi bệnh nhân COPD:

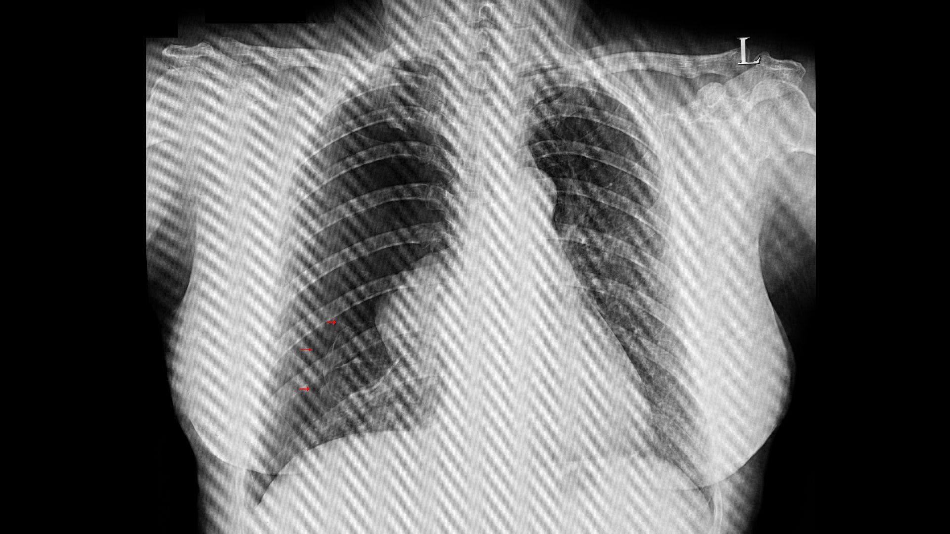
Tràn khí màng phổi

Tràn khí màng phổi là biến chứng thường gặp và có thể đe dọa tính mạng. Khi các phế nang bị căng quá mức do việc hít vào không đầy đủ khí, chúng trở nên mỏng manh và dễ vỡ, từ đó làm rò rỉ khí vào khoang màng phổi. Triệu chứng chính bao gồm đau ngực đột ngột và khó thở dữ dội. Việc  đối phó với tràn khí màng phổi  ngay khi phát hiện dấu hiệu có thể cứu sống bệnh nhân bằng cách cấp cứu kịp thời để ngăn ngừa suy hô hấp nặng và các biến chứng nguy hiểm khác.

Suy tim phải

Suy tim phải là một biến chứng nghiêm trọng do áp lực tăng cao trong động mạch phổi và tình trạng thiếu oxy kéo dài. Việc tim phải phải làm việc quá sức để bơm máu đến các cơ quan dẫn đến sự suy giảm chức năng của tim. Bệnh nhân có thể xuất hiện các dấu hiệu như gan to, phù ở phần dưới của hai chi và tĩnh mạch cổ nổi. Các biện pháp điều trị cần tập trung vào việc giảm gánh nặng cho tim, và áp dụng  biện pháp giảm nguy cơ suy tim phải  sẽ góp phần cải thiện tiên lượng cho người bệnh.

Tràn khí màng phổi là biến chứng cấp cứu có thể xảy ra đột ngột
Tràn khí màng phổi là biến chứng cấp cứu có thể xảy ra đột ngột

Tăng áp lực động mạch phổi

Tình trạng tăng áp lực động mạch phổi thường do sự giãn phế nang phổi làm chèn ép mao mạch, cũng như do co thắt tiểu động mạch khi thiếu oxy liên tục. Kết quả là hệ tuần hoàn chịu áp lực lớn dẫn đến khó thở nghiêm trọng, làm tăng nguy cơ tử vong. Việc nhận biết và theo dõi sớm tình trạng này là rất cần thiết. 

Rung tâm nhĩ

Rung tâm nhĩ và các rối loạn nhịp tim khác là biểu hiện phổ biến ở bệnh nhân đợt cấp COPD. Nguyên nhân liên quan đến sự thiếu oxy cơ tim, suy tim, cũng như rối loạn điện giải. Tình trạng này làm tăng nguy cơ tắc mạch não do huyết khối và cần được can thiệp kịp thời để ổn định nhịp tim và cải thiện chức năng tim mạch.

Vấn đề về giấc ngủ

Các triệu chứng như ho, khó thở, thở khò khè cùng với đờm nhiều không chỉ làm gián đoạn giấc ngủ mà còn có thể gây ra tình trạng ngưng thở khi ngủ. Nếu tình trạng này kéo dài, mức oxy trong máu giảm mạnh có thể dẫn đến hậu quả nghiêm trọng, thậm chí tử vong. Việc cải thiện môi trường ngủ và điều chỉnh liều dùng thuốc là những giải pháp hữu ích giúp bệnh nhân có được giấc ngủ chất lượng.

Ung thư phổi

Ung thư phổi là một biến chứng cực kỳ nguy hiểm của COPD. Nguyên nhân chính của bệnh phổi tắc nghẽn mạn tính thường liên quan đến thói quen hút thuốc lá hoặc thuốc lào, từ đó tạo điều kiện thuận lợi cho sự phát triển của tế bào ung thư. Tỷ lệ tử vong do ung thư phổi luôn ở mức cao, do đó việc sàng lọc sớm và theo dõi chặt chẽ ở nhóm nguy cơ đặc biệt là vô cùng quan trọng. Nhiều nghiên cứu khuyến nghị sử dụng  kỹ thuật phát hiện sớm ung thư phổi  như một biện pháp chủ động trong chăm sóc sức khỏe bệnh nhân COPD.

Trầm cảm và lo âu

Tác động tâm lý của bệnh COPD không chỉ dừng lại ở tình trạng thể chất mà còn lan tỏa sang khía cạnh tinh thần. Cảm giác khó chịu, mệt mỏi và lo lắng kéo dài có thể dẫn đến trầm cảm và các rối loạn tâm lý khác. Đặc biệt, với những người lớn tuổi, việc duy trì mức oxy thấp không chỉ gây ảnh hưởng đến thể chất mà còn nghiêm trọng ảnh hưởng đến khả năng nhận thức, có thể dẫn đến sa sút trí tuệ.

Biến chứng của bệnh phổi tắc nghẽn mạn tính (COPD)
Biến chứng của bệnh phổi tắc nghẽn mạn tính (COPD)

Biện pháp phòng ngừa và kiểm soát biến chứng COPD

Để giảm thiểu biến chứng và kiểm soát COPD một cách hiệu quả, người bệnh cần kết hợp thay đổi lối sống, tuân thủ phác đồ điều trị và theo dõi sức khỏe đều đặn. Quan trọng nhất là ngừng hút thuốc, vì đây là yếu tố làm bệnh tiến triển nhanh và dễ gây các đợt kịch phát. Bên cạnh đó, bệnh nhân nên hạn chế tối đa việc tiếp xúc với khói bụi, hóa chất, ô nhiễm không khí và duy trì vận động nhẹ nhàng mỗi ngày để tăng cường chức năng hô hấp.

Các biện pháp chính gồm:

  • Tập luyện nhẹ nhàng: Đi bộ, tập thở chúm môi, thở cơ hoành để cải thiện thông khí.
  • Theo dõi sức khỏe định kỳ: Đo SpO2, kiểm tra chức năng hô hấp để phát hiện sớm dấu hiệu bất thường.
  • Dùng thuốc đúng chỉ định: Sử dụng thuốc giãn phế quản, liệu pháp hô hấp và các thuốc hỗ trợ theo đúng hướng dẫn của bác sĩ.
  • Dinh dưỡng hợp lý: Tăng cường vitamin, khoáng chất, protein; hạn chế thực phẩm gây đầy hơi và kích ứng.
  • Tham gia phục hồi chức năng phổi: Giúp tăng sức bền cơ, cải thiện tuần hoàn và giảm khó thở.
  • Sử dụng thiết bị hỗ trợ như máy thở hoặc bình oxy tại nhà nếu được bác sĩ chỉ định, đồng thời nắm rõ cách sử dụng an toàn.
  • Sàng lọc biến chứng (đặc biệt ung thư phổi) ở nhóm nguy cơ cao để can thiệp sớm.

Việc kết hợp đồng bộ các biện pháp trên cùng sự đồng hành của gia đình và đội ngũ y tế sẽ giúp bệnh nhân kiểm soát COPD tốt hơn và hạn chế tối đa nguy cơ kịch phát.

Thay đổi lối sống, tuân thủ điều trị và theo dõi sức khỏe định kỳ giúp giảm biến chứng COPD
Thay đổi lối sống, tuân thủ điều trị và theo dõi sức khỏe định kỳ giúp giảm biến chứng COPD

Biến chứng của bệnh phổi tắc nghẽn mạn tính có thể gây ảnh hưởng nghiêm trọng đến sức khỏe và chất lượng sống nếu không được kiểm soát tốt. Việc nhận biết sớm, tuân thủ điều trị và duy trì lối sống lành mạnh là chìa khóa giúp hạn chế biến chứng và cải thiện chức năng hô hấp cho người bệnh.

Miễn trừ trách nhiệm

Thông tin được cung cấp chỉ mang tính chất tham khảo, không thay thế ý kiến tham vấn y khoa. Trước khi đưa ra quyết định liên quan đến sức khỏe, bạn nên được bác sĩ thăm khám, chẩn đoán và điều trị theo hướng dẫn chuyên môn.
Liên hệ hotline 1800 6928 để được Bác sĩ Long Châu hỗ trợ nếu cần được tư vấn.

NỘI DUNG LIÊN QUAN