Bệnh bạch hầu thường khởi phát bằng các nốt giả mạc trắng xám ở họng, amidan hoặc thanh quản, kèm theo sốt nhẹ, đau họng và mệt mỏi. Nếu không được phát hiện và điều trị kịp thời, bệnh có thể tiến triển nặng, gây sưng cổ, khó thở, biến chứng tim - thần kinh, thậm chí đe dọa tính mạng. Hiểu rõ hình ảnh bệnh bạch hầu và triệu chứng từng giai đoạn giúp nhận biết sớm, phòng ngừa hiệu quả và bảo vệ sức khỏe cho cả cộng đồng.
Hình ảnh bệnh bạch hầu qua từng giai đoạn
Quá trình diễn tiến của bệnh bạch hầu có thể được chia thành các giai đoạn dựa trên biểu hiện lâm sàng và biến chứng.
Giai đoạn khởi phát
Giai đoạn khởi phát thường xuất hiện trong 2 - 5 ngày đầu sau khi nhiễm vi khuẩn. Các triệu chứng lâm sàng ở thời điểm này khá mờ nhạt và dễ nhầm lẫn với những bệnh viêm đường hô hấp trên thông thường. Người bệnh có thể gặp sốt nhẹ hoặc vừa, mệt mỏi, đau họng, chán ăn, đau đầu. Khi thăm khám, niêm mạc họng thường sung huyết, đỏ, có thể phù nề nhẹ, nhưng giả mạc chưa rõ ràng.
Do biểu hiện không đặc hiệu và dễ bỏ sót, giai đoạn này thường khiến việc chẩn đoán bị trì hoãn, làm chậm quá trình điều trị đặc hiệu và tăng nguy cơ bệnh tiến triển nặng.

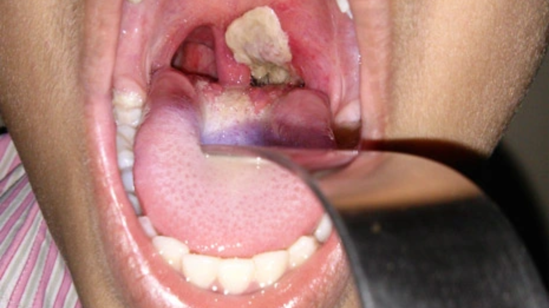
Giai đoạn toàn phát
Giai đoạn toàn phát là giai đoạn đặc trưng và có giá trị chẩn đoán nhất của bệnh bạch hầu. Lúc này, tại vùng họng, amidan hoặc thanh quản xuất hiện giả mạc màu trắng xám hoặc xám bẩn, dày, dai và dính chặt vào niêm mạc bên dưới. Khi cố gắng bóc giả mạc, bề mặt niêm mạc dễ chảy máu, đây là dấu hiệu giúp phân biệt với các mảng giả mạc trong viêm họng thông thường.
Các triệu chứng toàn thân thường không rõ rệt, sốt chỉ ở mức nhẹ đến vừa và không tương xứng với tổn thương tại chỗ. Người bệnh có thể xuất hiện hơi thở hôi, đau họng ngày càng tăng, nuốt khó, kèm theo giọng mũi hoặc khàn tiếng nếu tổn thương lan xuống thanh quản.

Giai đoạn biến chứng tại chỗ
Nếu không được điều trị kịp thời, giả mạc có thể lan rộng và gây ra những biến chứng nguy hiểm tại chỗ. Hạch cổ cùng mô mềm vùng cổ sưng to, phù nề lan tỏa tạo nên hình ảnh “cổ bò” - dấu hiệu cảnh báo mức độ nặng của bệnh. Khi phù nề và giả mạc lan xuống thanh quản, người bệnh có thể bị tắc nghẽn đường thở với biểu hiện khó thở, thở rít và co kéo cơ hô hấp phụ.
Đây là giai đoạn có nguy cơ cao dẫn đến suy hô hấp cấp và tử vong nhanh chóng, đặc biệt ở trẻ em, nếu không được can thiệp đường thở và điều trị tích cực.

Giai đoạn biến chứng toàn thân
Các biến chứng toàn thân chủ yếu do độc tố bạch hầu gây ra, thường xuất hiện sau 1 - 3 tuần, ngay cả khi tổn thương tại họng đã thuyên giảm. Biến chứng nghiêm trọng và phổ biến nhất là viêm cơ tim, với biểu hiện rối loạn nhịp tim, suy tim cấp hoặc tiến triển, có thể dẫn đến tử vong đột ngột.
Ngoài ra, độc tố còn ảnh hưởng đến hệ thần kinh, thường gặp tình trạng liệt màn hầu, liệt cơ vận nhãn, liệt chi hoặc liệt cơ hô hấp. Những tổn thương thần kinh này thường hồi phục chậm và có thể kéo dài nhiều tháng.

Giai đoạn hồi phục
Ở những bệnh nhân được chẩn đoán sớm và điều trị đúng, giả mạc sẽ bong dần, niêm mạc họng tái tạo chậm. Các triệu chứng tại chỗ cải thiện trước, trong khi biến chứng tim và thần kinh có thể kéo dài và cần theo dõi lâu dài. Giai đoạn hồi phục đòi hỏi chăm sóc toàn diện, theo dõi tim mạch và phục hồi chức năng thần kinh nếu có tổn thương.

Triệu chứng đi kèm và dấu hiệu cảnh báo
Ngoài hình ảnh giả mạc, bệnh nhân bạch hầu thường có triệu chứng toàn thân:
- Đau họng, khó nuốt, khàn tiếng: Xuất hiện ngay từ giai đoạn đầu, là dấu hiệu cảnh báo cần thăm khám.
- Sốt nhẹ, mệt mỏi: Thường đi kèm với sưng hạch cổ và giả mạc họng, khiến cơ thể suy nhược, ăn uống khó khăn.
- Nổi hạch cổ: Hạch bạch huyết sưng to, đau, dễ nhận biết khi sờ nắn.
Nếu không được điều trị kịp thời, bạch hầu có thể gây ra các biến chứng nghiêm trọng:
- Viêm cơ tim: Làm rối loạn nhịp tim, suy tim cấp tính, nguy cơ tử vong cao.
- Liệt cơ: Ảnh hưởng thần kinh vận động, đặc biệt cơ hô hấp và cơ mặt.
- Suy hô hấp: Khi giả mạc che lấp đường thở, đe dọa tính mạng, cần hỗ trợ thở nhân tạo trong trường hợp nặng.

Nhận biết các dấu hiệu này là bước quan trọng để bệnh nhân được can thiệp y tế kịp thời, giảm nguy cơ tử vong và các di chứng lâu dài.
Chẩn đoán và điều trị bệnh bạch hầu
Để xác định chính xác bạch hầu, bác sĩ thực hiện chẩn đoán lâm sàng kết hợp cận lâm sàng:
- Xét nghiệm dịch họng: Lấy mẫu từ giả mạc hoặc họng để kiểm tra vi khuẩn. Đây là bước quan trọng giúp phát hiện Corynebacterium diphtheriae sớm.
- Nuôi cấy vi khuẩn: Xác định chủng vi khuẩn cụ thể, đánh giá mức độ nguy hiểm và lựa chọn kháng sinh phù hợp.
- Test độc tố: Xác định vi khuẩn có sản xuất độc tố hay không, giúp dự đoán nguy cơ biến chứng tim và thần kinh.
Chẩn đoán sớm giúp bác sĩ lập phác đồ điều trị phù hợp, quyết định loại kháng sinh, liều lượng, tiêm kháng độc tố và theo dõi biến chứng.
Điều trị bạch hầu bao gồm nhiều bước phối hợp:
- Kháng sinh: Erythromycin hoặc penicillin được sử dụng để tiêu diệt vi khuẩn, ngăn chặn giả mạc lan rộng và giảm nguy cơ lây nhiễm.
- Kháng độc tố bạch hầu: Trung hòa độc tố đã sản xuất, giảm nguy cơ tổn thương tim, thần kinh và cơ quan khác. Thời gian tiêm kháng độc tố càng sớm càng hiệu quả.
- Cách ly bệnh nhân: Giúp ngăn lây lan sang người khỏe mạnh. Bệnh nhân cần được nằm trong phòng riêng, nhân viên y tế tuân thủ các biện pháp bảo hộ.
- Theo dõi biến chứng: Kiểm tra tim mạch, điện tâm đồ, men tim, theo dõi liệt cơ hoặc dấu hiệu thần kinh để phát hiện sớm và can thiệp kịp thời.

Điều trị sớm và đúng cách quyết định khả năng hồi phục và giảm tỷ lệ tử vong. Bệnh nhân cần tuân thủ phác đồ đầy đủ, nghỉ ngơi hợp lý, bổ sung dinh dưỡng và nước, đồng thời tái khám định kỳ.
Phòng ngừa bệnh bạch hầu bằng vắc xin
Phòng bệnh là cách hiệu quả nhất để bảo vệ sức khỏe:
- Tiêm vắc xin DPT: Kết hợp bạch hầu - ho gà - uốn ván, tiêm đúng lịch cho trẻ em.
- Tiêm nhắc lại mỗi 10 năm: Đối với người lớn, duy trì miễn dịch lâu dài.
- Vệ sinh cá nhân: Rửa tay thường xuyên, che miệng khi ho, tránh tiếp xúc với người nghi nhiễm.
- Giữ môi trường sạch sẽ: Hạn chế lây lan vi khuẩn trong cộng đồng, đặc biệt ở trường học, nhà trẻ, nơi đông người.
Phòng ngừa chủ động không chỉ bảo vệ bản thân mà còn góp phần ngăn chặn dịch bạch hầu lan rộng, bảo vệ sức khỏe cộng đồng và hạn chế biến chứng nghiêm trọng.
Như vậy, bệnh bạch hầu có thể tiến triển nhanh và gây nhiều biến chứng nguy hiểm nếu không được phát hiện sớm. Nhận biết giả mạc, tổn thương da, sưng hạch cổ và các triệu chứng đi kèm giúp bệnh nhân được điều trị kịp thời, phòng ngừa tử vong và các di chứng lâu dài. Việc tiêm vắc xin đầy đủ, duy trì vệ sinh cá nhân và tránh tiếp xúc với người nghi nhiễm là chìa khóa quan trọng để bảo vệ sức khỏe bản thân, gia đình và cộng đồng, đồng thời hạn chế sự lây lan của dịch bệnh trong môi trường đông người.
:format(webp)/470051785_8767135473405056_691967411107495592_n_6b2bbff755.png)
:format(webp)/467434554_545745841560409_1066418224364723785_n_560a494f9c.png)
/hiv_khong_lay_qua_duong_nao_va_mot_so_cach_phong_tranh_lay_nhiem_hiv_0_8e34119d33.jpg)
/xet_nghiem_uon_van_la_gi_khi_nao_can_thuc_hien_1_812973f10f.jpg)
/tat_an_tat_thong_tin_uon_van_lay_qua_duong_nao_1_e347a7618b.jpg)
/lieu_bi_nhiem_trung_uon_van_co_chua_duoc_khong_4_95a85e421e.jpg)
/viem_khop_nhiem_khuan_d0234863a1.png)