Gãy Galeazzi là tình trạng gãy thân xương quay kèm trật khớp quay - trụ dưới, thường xảy ra do chấn thương mạnh. Nếu không được chẩn đoán và xử trí đúng cách, tổn thương này có thể gây biến chứng nghiêm trọng, làm giảm khả năng vận động và ảnh hưởng lâu dài đến chức năng chi trên.
Gãy Galeazzi là gì?
Gãy Galeazzi là một dạng chấn thương phức tạp của cẳng tay, được định nghĩa là tình trạng gãy thân xương quay ở đoạn một phần ba dưới kèm theo trật khớp quay - trụ dưới. Đây là tổn thương kết hợp giữa gãy xương và mất vững khớp, thường xảy ra do cơ chế chấn thương gián tiếp như ngã chống tay với cẳng tay ở tư thế xoay ngoài.

Gãy Galeazzi gây ảnh hưởng trực tiếp đến chức năng xoay và vận động cổ tay - cẳng tay, đồng thời có nguy cơ dẫn đến biến chứng nếu không được chẩn đoán và xử trí đúng cách. Với tính chất không ổn định, loại gãy này thường đòi hỏi can thiệp phẫu thuật để phục hồi giải phẫu xương quay và tái lập sự ổn định cho khớp quay - trụ dưới.
Triệu chứng của gãy Galeazzi
Gãy Galeazzi thường dễ bị bỏ sót nếu không được đánh giá kỹ lưỡng, do biểu hiện có thể giống với các loại gãy xương cẳng tay thông thường. Tuy nhiên, việc nhận diện sớm các triệu chứng đặc hiệu là yếu tố then chốt giúp chẩn đoán đúng và xử trí kịp thời. Dưới đây là các triệu chứng thường gặp trong gãy Galeazzi:
- Đau vùng cẳng tay dưới: Bệnh nhân thường có cảm giác đau dữ dội khu trú ở vùng một phần ba dưới xương quay, đặc biệt khi vận động hoặc sờ nắn. Cơn đau có thể lan xuống cổ tay do liên quan đến khớp quay - trụ dưới bị tổn thương.
- Biến dạng và sưng nề: Vùng cẳng tay bị gãy có thể xuất hiện biến dạng rõ rệt, kèm theo sưng nề tại vị trí gãy và quanh khớp cổ tay. Dấu hiệu này gợi ý một tổn thương kết hợp giữa xương và khớp.
- Hạn chế vận động cổ tay và cẳng tay: Người bệnh thường gặp khó khăn trong việc xoay sấp - ngửa cẳng tay hoặc gập duỗi cổ tay. Mức độ hạn chế phụ thuộc vào mức độ trật khớp và đau tại chỗ.
- Đau và mất vững khớp quay - trụ dưới: Khi khám lâm sàng, có thể phát hiện đau tại vị trí đầu dưới xương trụ, đặc biệt khi ấn vào hoặc làm nghiệm pháp di động đầu trụ. Cảm giác lỏng lẻo hoặc lạo xạo gợi ý tình trạng trật khớp quay - trụ dưới.
- Tê hoặc dị cảm vùng bàn tay: Trong một số trường hợp, tổn thương có thể đi kèm với chèn ép thần kinh giữa do phù nề hoặc di lệch xương, gây ra cảm giác tê, châm chích vùng ngón cái, ngón trỏ và ngón giữa.

Gãy Galeazzi có nguy hiểm không?
Gãy Galeazzi được xem là một tổn thương nguy hiểm và phức tạp trong chấn thương chỉnh hình, chủ yếu do tính chất kết hợp giữa gãy xương và mất vững khớp, ảnh hưởng trực tiếp đến chức năng vận động của chi trên.
Các yếu tố có thể làm cho gãy Galeazzi trở nên nguy hiểm:
- Tổn thương không ổn định: Do đi kèm trật khớp quay - trụ dưới, gãy Galeazzi có nguy cơ cao gây di lệch thứ phát nếu không được cố định đúng cách. Việc điều trị bảo tồn thường thất bại, dẫn đến chỉ định phẫu thuật gần như tuyệt đối.
- Dễ bị bỏ sót trên lâm sàng: Trật khớp quay - trụ dưới có thể không rõ ràng ngay từ đầu, khiến chẩn đoán thiếu chính xác. Điều này dẫn đến xử trí không phù hợp và tăng nguy cơ biến chứng.
- Biến chứng chức năng lâu dài: Nếu không điều trị đúng, bệnh nhân có thể gặp tình trạng hạn chế xoay sấp - ngửa cẳng tay, đau mạn tính, mất vững cổ tay, hoặc thoái hóa khớp sớm tại khớp quay - trụ dưới.
- Nguy cơ tổn thương thần kinh: Trong một số trường hợp, chấn thương có thể gây ảnh hưởng đến thần kinh giữa hoặc thần kinh quay, dẫn đến tê bì, yếu chi hoặc rối loạn cảm giác bàn tay.
Tóm lại, gãy Galeazzi là một tình trạng nghiêm trọng cần được chẩn đoán sớm và xử trí bằng phẫu thuật để phục hồi giải phẫu và chức năng vận động của cẳng tay, đồng thời ngăn ngừa các di chứng lâu dài.

Phương pháp chẩn đoán gãy Galeazzi cẳng tay
Chẩn đoán gãy Galeazzi cẳng tay cần được thực hiện một cách hệ thống và toàn diện, nhằm xác định đầy đủ cả tổn thương xương quay và tình trạng khớp quay - trụ dưới đi kèm. Do đây là một loại tổn thương kết hợp giữa gãy xương và trật khớp, nếu không phát hiện đầy đủ sẽ dễ dẫn đến xử trí không phù hợp và gây ra các biến chứng chức năng lâu dài.
Dưới đây là các phương pháp chẩn đoán chính thường được áp dụng trong thực hành lâm sàng:
Khám lâm sàng toàn diện
Đây là bước đầu tiên giúp định hướng tổn thương và nghi ngờ gãy Galeazzi ngay từ thời điểm tiếp nhận bệnh nhân. Bệnh nhân thường cảm thấy đau rõ rệt ở vùng 1/3 dưới xương quay và vùng cổ tay, nhất là khi vận động hoặc xoay cẳng tay. Khi thăm khám, cần kiểm tra sự hiện diện của biến dạng, sưng nề và giới hạn vận động xoay sấp - ngửa.
Một dấu hiệu đặc hiệu là cảm giác lỏng lẻo hoặc đau tại khớp quay - trụ dưới khi ấn vào đầu dưới xương trụ, hoặc khi thực hiện nghiệm pháp di động đầu trụ. Ngoài ra, cần lưu ý kiểm tra chức năng thần kinh chi trên, đặc biệt là thần kinh giữa và thần kinh quay, để loại trừ các tổn thương đi kèm.
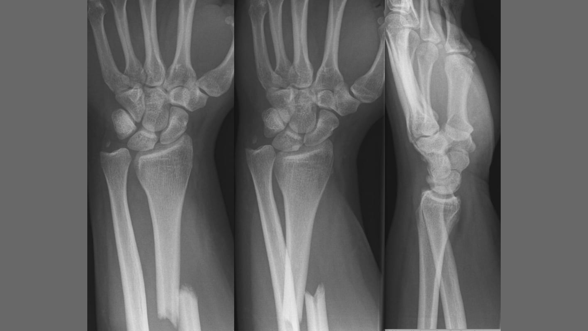
Chụp X-quang
X-quang là phương tiện hình ảnh cơ bản và bắt buộc trong chẩn đoán gãy Galeazzi. Cần chụp cả hai tư thế thẳng và nghiêng của toàn bộ cẳng tay, bao gồm cả khớp cổ tay và khớp khuỷu tay, để không bỏ sót các tổn thương liên quan. Hình ảnh thường cho thấy gãy xương quay ở đoạn một phần ba dưới, với hoặc không có di lệch. Đặc biệt, cần quan sát kỹ mối liên hệ giữa đầu dưới xương trụ và xương quay để đánh giá tình trạng khớp quay - trụ dưới. Các dấu hiệu gợi ý trật khớp bao gồm khoảng cách bất thường giữa hai xương, lệch trục hoặc mất liên tục cung khớp cổ tay.
Trong trường hợp hình ảnh trật khớp quay - trụ dưới không rõ ràng trên phim X-quang, có thể chụp cổ tay đối bên để so sánh. Điều này đặc biệt hữu ích ở những bệnh nhân có cấu trúc giải phẫu không điển hình hoặc nghi ngờ tổn thương nhẹ nhưng vẫn có triệu chứng lâm sàng gợi ý.
Chụp cắt lớp vi tính (CT scan)
CT scan được chỉ định khi X-quang không cho thấy rõ mối liên hệ khớp quay - trụ dưới, hoặc trong trường hợp tổn thương phức tạp cần đánh giá trước phẫu thuật. Hình ảnh CT giúp xác định chính xác mức độ di lệch, các mảnh gãy nhỏ và sự liên kết của khớp, từ đó hỗ trợ cho quyết định điều trị và lập kế hoạch mổ chi tiết hơn.

Chẩn đoán phân biệt
Ngoài việc xác định gãy Galeazzi, cần phân biệt với các tổn thương khác như gãy xương quay đơn thuần, gãy Monteggia (gãy xương trụ kèm trật khớp quay), hoặc các tổn thương phần mềm quanh khớp cổ tay. Điều này đặc biệt quan trọng vì cách xử trí giữa các loại chấn thương này là khác nhau.
Điều trị gãy Galeazzi cẳng tay như thế nào?
Điều trị gãy Galeazzi cẳng tay cần dựa trên nguyên tắc phục hồi giải phẫu xương quay và tái lập sự ổn định của khớp quay - trụ dưới. Do tính chất tổn thương phức tạp và không ổn định, phương pháp điều trị cần được lựa chọn phù hợp với từng đối tượng bệnh nhân, trong đó phẫu thuật là phương pháp ưu tiên. Dưới đây là các phương pháp điều trị chính:
- Điều trị bảo tồn: Phương pháp bảo tồn có vai trò rất hạn chế và chỉ được xem xét trong một số trường hợp đặc biệt, như gãy không di lệch ở trẻ em hoặc bệnh nhân có chống chỉ định phẫu thuật. Điều trị thường bao gồm nắn chỉnh và bất động bằng bột cánh tay - cổ tay trong tư thế xoay sấp. Tuy nhiên, nguy cơ mất vững khớp quay - trụ dưới và di lệch thứ phát rất cao, khiến kết quả điều trị không ổn định. Do đó, điều trị bảo tồn không được khuyến cáo ở người lớn hoặc các trường hợp gãy có di lệch.
- Phẫu thuật kết hợp xương quay: Đây là bước điều trị cơ bản và quan trọng nhất trong gãy Galeazzi. Phẫu thuật thường được thực hiện bằng kỹ thuật nẹp vít để cố định thân xương quay, đảm bảo phục hồi chính xác về chiều dài, trục và hướng xoay. Việc tái lập hình thái giải phẫu xương quay giúp tạo điều kiện thuận lợi cho khớp quay - trụ dưới trở về vị trí bình thường. Phẫu thuật cần được thực hiện sớm để tránh biến chứng như can lệch, liền sai hoặc mất vững khớp kéo dài.
- Xử trí khớp quay - trụ dưới: Sau khi kết hợp xương quay, phẫu thuật viên cần đánh giá lại sự ổn định của khớp quay - trụ dưới. Nếu khớp ổn định, có thể không cần can thiệp thêm. Tuy nhiên, nếu phát hiện mất vững, trật tái diễn hoặc đau khớp, cần thực hiện các biện pháp hỗ trợ như cố định đầu dưới xương trụ bằng kim Kirschner, khâu bao khớp hoặc phục hồi dây chằng bị tổn thương. Mục tiêu là đảm bảo sự liên kết vững chắc giữa xương quay và xương trụ, ngăn ngừa thoái hóa khớp sớm hoặc rối loạn vận động sau mổ.
- Chăm sóc hậu phẫu và phục hồi chức năng: Sau phẫu thuật, bệnh nhân cần được bất động tạm thời cẳng tay bằng nẹp hoặc bột trong vài tuần để bảo vệ ổ gãy và khớp vừa được ổn định. Khi xương bắt đầu liền, cần tiến hành tập vận động chủ động có hướng dẫn nhằm khôi phục tầm vận động và sức mạnh cơ. Vật lý trị liệu đóng vai trò thiết yếu trong giai đoạn này. Ngoài ra, cần theo dõi sát các dấu hiệu nhiễm trùng, can chậm hoặc mất vững khớp quay - trụ dưới để có biện pháp xử trí kịp thời.

Từ những phân tích trên có thể thấy, gãy Galeazzi là một tổn thương xương khớp đặc biệt, đòi hỏi sự nhận diện sớm và điều trị chính xác để tránh hậu quả lâu dài. Việc chẩn đoán cần dựa trên lâm sàng kết hợp hình ảnh học, trong khi điều trị chủ yếu là phẫu thuật nhằm phục hồi giải phẫu xương quay và đảm bảo sự ổn định của khớp quay - trụ dưới. Sự phối hợp chặt chẽ giữa bác sĩ chấn thương chỉnh hình và chuyên viên phục hồi chức năng giữ vai trò quan trọng trong việc mang lại kết quả điều trị tối ưu, giúp bệnh nhân phục hồi vận động cẳng tay và trở lại sinh hoạt thường ngày một cách hiệu quả.
:format(webp)/470051785_8767135473405056_691967411107495592_n_6b2bbff755.png)
:format(webp)/467434554_545745841560409_1066418224364723785_n_560a494f9c.png)
/dau_ha_suon_trai_nguyen_nhan_thuong_gap_va_dau_hieu_can_luu_y_587df00add.jpg)
/gay_xuong_mat_ca_chan_la_gi_cach_cham_soc_va_tap_phuc_hoi_sau_gay_xuong_mat_ca_chan_3_a2aa9a6f3f.jpg)
/gay_xuong_ngon_chan_co_nguy_hiem_khong_khi_nao_can_di_kham_2_f8cac2f31a.jpg)
/gay_xuong_cang_chan_nguyen_nhan_dieu_tri_va_thoi_gian_hoi_phuc_1_6b176ac27d.jpg)
/gay_xuong_ban_chan_dau_hieu_nhan_biet_va_cach_dieu_tri_2_abbec8b479.jpg)