Gãy thân xương cánh tay là tình trạng gãy xương xảy ra ở đoạn giữa của xương cánh tay, thường do chấn thương trực tiếp hoặc tai nạn. Tình trạng này gây đau, sưng nề và hạn chế vận động, đòi hỏi can thiệp điều trị kịp thời để phục hồi chức năng và ngăn ngừa biến chứng.
Gãy thân xương cánh tay là gì?
Gãy thân xương cánh tay là tình trạng gãy xảy ra tại đoạn giữa của xương cánh tay (xương cánh tay còn gọi là xương humerus), nằm giữa khớp vai và khớp khuỷu. Đây là một loại gãy xương dài phổ biến, thường do chấn thương trực tiếp như tai nạn giao thông, ngã đập tay hoặc do lực xoắn mạnh tác động lên chi trên. Gãy thân xương cánh tay có thể là gãy kín hoặc gãy hở, với mức độ di lệch khác nhau tùy theo cơ chế chấn thương và lực tác động.

Các triệu chứng thường gặp bao gồm đau dữ dội tại vùng cánh tay, biến dạng chi, sưng nề, hạn chế vận động và có thể kèm tổn thương thần kinh quay. Việc chẩn đoán cần dựa vào lâm sàng kết hợp hình ảnh học như X-quang, và điều trị có thể bao gồm bảo tồn hoặc phẫu thuật, tùy thuộc vào đặc điểm ổ gãy và tình trạng toàn thân của người bệnh.
Gãy thân xương cánh tay thường do nguyên nhân nào?
Gãy thân xương cánh tay thường xảy ra do các nguyên nhân chính sau:
- Chấn thương trực tiếp: Là nguyên nhân phổ biến nhất, thường gặp trong các tai nạn giao thông, tai nạn lao động hoặc té ngã khi tay đang dang rộng. Lực tác động trực tiếp lên vùng cánh tay có thể làm gãy đoạn thân xương.
- Chấn thương gián tiếp: Gãy có thể xảy ra do lực xoắn mạnh hoặc lực nén dọc trục khi người bệnh té và chống tay xuống đất, làm truyền lực lên xương cánh tay gây gãy, thường thấy ở người lớn tuổi.
- Gãy do bệnh lý: Ở một số bệnh nhân có xương yếu như loãng xương, ung thư di căn xương hoặc u xương nguyên phát, xương có thể bị gãy với một chấn thương nhẹ hoặc thậm chí không có chấn thương rõ ràng.
- Gãy do stress (gãy mỏi): Hiếm gặp ở xương cánh tay nhưng có thể xảy ra ở vận động viên hoặc người lao động nặng phải thực hiện lặp đi lặp lại các động tác xoay hoặc nâng tay quá mức trong thời gian dài.

Gãy thân xương cánh tay có nguy hiểm không?
Gãy thân xương cánh tay có thể trở nên nguy hiểm nếu không được chẩn đoán và xử trí đúng cách. Mặc dù đây là một loại gãy xương thường gặp và phần lớn có thể điều trị hiệu quả, nhưng một số biến chứng nghiêm trọng có thể xảy ra, bao gồm:
- Tổn thương thần kinh quay: Do thần kinh quay chạy sát xương cánh tay, gãy xương có thể gây chèn ép hoặc đứt thần kinh, dẫn đến yếu hoặc liệt duỗi cổ tay và ngón tay.
- Mất ổn định xương hoặc liền lệch: Gãy di lệch nếu không được cố định tốt có thể khiến xương liền không đúng trục, ảnh hưởng chức năng vận động.
- Chậm liền hoặc không liền xương: Một số trường hợp cần can thiệp phẫu thuật lại để ghép xương hoặc kết hợp lại xương.
- Biến chứng do bất động kéo dài: Như cứng khớp vai, teo cơ hoặc giảm chức năng vận động nếu không tập phục hồi đúng cách.
Do đó, gãy thân xương cánh tay tuy không đe dọa trực tiếp tính mạng nhưng tiềm ẩn nhiều nguy cơ ảnh hưởng đến chất lượng cuộc sống và chức năng tay, đòi hỏi điều trị và theo dõi y khoa nghiêm túc.

Phương pháp điều trị và phục hồi gãy thân xương cánh tay
Gãy thân xương cánh tay là một chấn thương phổ biến ở chi trên, cần được điều trị đúng phương pháp và theo dõi phục hồi chặt chẽ để đảm bảo chức năng vận động của tay được phục hồi tối đa. Việc lựa chọn phương pháp điều trị phụ thuộc vào nhiều yếu tố như mức độ di lệch của ổ gãy, tình trạng mô mềm xung quanh, tuổi tác, mức độ hoạt động của bệnh nhân và sự hiện diện của các tổn thương phối hợp.
Điều trị bảo tồn
Phương pháp bảo tồn được áp dụng chủ yếu trong các trường hợp gãy xương không di lệch hoặc di lệch ít, không kèm theo tổn thương thần kinh hay mạch máu. Bệnh nhân sẽ được bất động chi bằng nẹp U, nẹp giọt nước hoặc bột treo vai - cẳng tay trong thời gian khoảng 6 - 8 tuần để đảm bảo quá trình liền xương diễn ra thuận lợi.
Trong suốt quá trình này, người bệnh cần được theo dõi lâm sàng và chụp X-quang định kỳ nhằm đánh giá sự ổn định của ổ gãy và phát hiện sớm các biến chứng như lệch trục hoặc không liền xương. Phương pháp này ít xâm lấn, chi phí thấp, phù hợp với người cao tuổi hoặc bệnh nhân có nguy cơ cao khi phẫu thuật. Tuy nhiên, bất động kéo dài có thể gây ra tình trạng teo cơ, cứng khớp, đặc biệt là vùng vai và khuỷu tay, nếu không kết hợp tập luyện phù hợp.

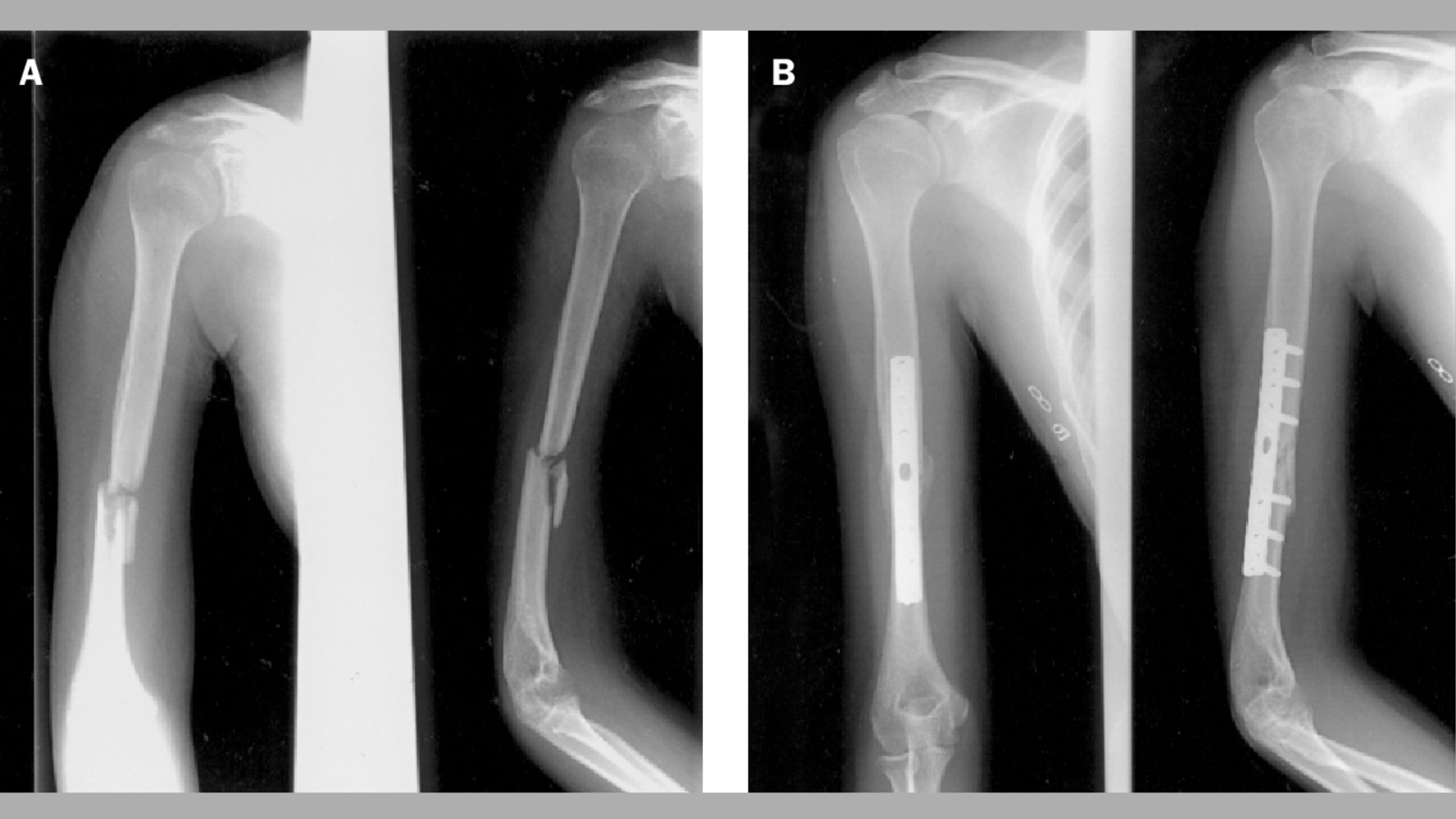
Điều trị phẫu thuật
Phẫu thuật được chỉ định trong các trường hợp gãy xương di lệch nhiều, gãy hở, gãy không vững hoặc có kèm tổn thương mạch máu, thần kinh. Ngoài ra, những trường hợp thất bại với điều trị bảo tồn cũng cần chuyển sang phẫu thuật. Hai kỹ thuật phổ biến nhất là kết hợp xương bằng nẹp vít (ORIF) và đóng đinh nội tủy. Mỗi kỹ thuật được lựa chọn dựa trên vị trí, mức độ gãy và điều kiện mô mềm xung quanh.
Phẫu thuật giúp phục hồi giải phẫu chính xác, ổn định ổ gãy tốt hơn và cho phép bệnh nhân sớm vận động chi. Tuy nhiên, đây là phương pháp xâm lấn, tiềm ẩn các nguy cơ như nhiễm trùng, tổn thương thần kinh quay, hoặc lỏng dụng cụ kết hợp xương, đòi hỏi theo dõi hậu phẫu sát sao và chăm sóc chuyên khoa.
Phục hồi chức năng
Phục hồi chức năng đóng vai trò thiết yếu trong toàn bộ quá trình điều trị gãy thân xương cánh tay. Trong giai đoạn bất động, bệnh nhân cần được hướng dẫn cử động chủ động các khớp không bị ảnh hưởng như ngón tay, cổ tay và vai để duy trì độ linh hoạt và ngăn ngừa cứng khớp. Khi ổ gãy bắt đầu liền, việc tập vận động dần dần các khớp khuỷu tay và vai nên được triển khai dưới sự theo dõi của bác sĩ chuyên khoa phục hồi chức năng.
Giai đoạn muộn tập trung vào việc tăng sức cơ, cải thiện tầm vận động và phục hồi chức năng sinh hoạt hằng ngày. Việc phục hồi hiệu quả cần kết hợp giữa chương trình tập luyện cá thể hóa và sự kiên trì của bệnh nhân, nhằm đảm bảo chi trên trở lại hoạt động bình thường trong thời gian ngắn nhất có thể.

Tóm lại, gãy thân xương cánh tay là một chấn thương nghiêm trọng không chỉ gây ảnh hưởng đến cấu trúc xương mà còn đe dọa chức năng vận động và chất lượng cuộc sống của người bệnh nếu không được điều trị đúng cách. Việc lựa chọn phương pháp điều trị phù hợp cần dựa trên đánh giá toàn diện về mức độ tổn thương và tình trạng bệnh nhân. Đồng thời, quá trình phục hồi chức năng có vai trò quyết định trong việc khôi phục khả năng vận động và hạn chế di chứng lâu dài.
:format(webp)/470051785_8767135473405056_691967411107495592_n_6b2bbff755.png)
:format(webp)/467434554_545745841560409_1066418224364723785_n_560a494f9c.png)
/dau_ha_suon_trai_nguyen_nhan_thuong_gap_va_dau_hieu_can_luu_y_587df00add.jpg)
/gay_xuong_mat_ca_chan_la_gi_cach_cham_soc_va_tap_phuc_hoi_sau_gay_xuong_mat_ca_chan_3_a2aa9a6f3f.jpg)
/gay_xuong_ngon_chan_co_nguy_hiem_khong_khi_nao_can_di_kham_2_f8cac2f31a.jpg)
/gay_xuong_cang_chan_nguyen_nhan_dieu_tri_va_thoi_gian_hoi_phuc_1_6b176ac27d.jpg)
/gay_xuong_ban_chan_dau_hieu_nhan_biet_va_cach_dieu_tri_2_abbec8b479.jpg)